Teeth Whitening Bondi
A Friendly Teeth Whitening Experience
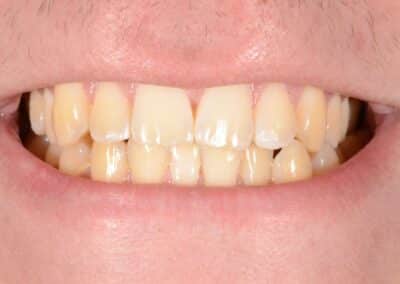
At Bondi Family Dentist, we believe that a bright smile is the key to confidence. If you are unhappy with the colour of your teeth, why not explore our range of teeth-whitening options? Our dentists provide holistic teeth whitening services in Bondi, either in-chair, at home or both, ensuring a complete smile transformation.
What Is Teeth Whitening?
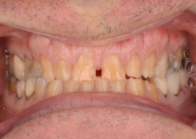
Teeth whitening is a popular cosmetic dentistry procedure designed to combat the natural discolouration that often occurs with age, despite regular dental checkups and thorough brushing habits. Over time, our teeth can become stained or discoloured due to various factors like diet, lifestyle, and certain medications. Teeth whitening aims to remove these surface stains and underlying discolourations, restoring the teeth’s natural whiteness.
It’s important to note that teeth whitening is most effective on extrinsic stains, those on the surface of the teeth caused by foods, drinks, and smoking. Intrinsic stains, which are inside the tooth, may not respond as well to whitening treatments. Before undergoing teeth whitening, it’s essential to consult with a dental professional to ensure that your teeth and gums are healthy and to discuss the best whitening method for your individual needs
Why Bondi Family Dentist?
600+ 5-star reviews
Over 25 years of experience
A diverse range of dental services
A family-friendly dentist
What Clients Say About Bondi Family Dentist
Teeth Whitening Process
The teeth whitening process is simple. Depending on the severity of discolouration, you may need an in-office treatment, a home-whitening kit, or both.
Here’s how it works:
- Consultation: A consultation with your dentist will assess your oral health and determine if teeth whitening is suitable.
- Procedure: If you opt for an in-office treatment, the dentist will proceed with the teeth whitening procedure, which involves applying a high-concentration hydrogen peroxide or carbamide peroxide gel to your teeth. The gel is activated using a specialised light or laser.
- Duration: In-office teeth whitening takes 1-2 hours, with noticeable results after one session, depending on your teeth.
We offer at-home teeth whitening kits customised to you. Here’s how they work:
- Impressions: Your dentist will take impressions of your teeth to create custom-fitted whitening trays.
- Prescription Whitening Gel: prescription-strength whitening gel containing hydrogen peroxide or carbamide peroxide.
- Instructions: Your dentist will provide you with specific instructions on how to use the kit. Typically, you’ll wear the whitening trays for a specified amount of time each day for several weeks.
- Results: At-home teeth whitening kits can produce gradual and effective results over time. However, in-chair will be quicker.
Benefits of Teeth Whitening
Enhanced Self-Esteem
Teeth whitening can give you a more radiant smile. Improving your overall confidence.
Non-Invasive Procedure
Teeth whitening is non-invasive. Patients typically report little to no discomfort during or after the treatment.
Cost-Effective Cosmetic Enhancement
Teeth whitening is a cost-effective cosmetic dentistry option. We aim to make a bright smile accessible to everyone looking to enhance their smile.
Reliable At Whitening Teeth
With in-chair teeth whitening, the results are reliable and will lighten the colour of stained teeth.
What to expect after a professional teeth whitening procedure?
Your post-treatment is simple. You may expect increased tooth sensitivity after an in-office teeth whitening procedure; this is temporary and will disappear after a few days. It is crucial to avoid the consumption of staining substances for the first 24-48 hours after the procedure, including coffee, tea, red wine, dark-coloured sauces, and tobacco products.
Avoiding extremely hot or cold foods is a good idea post-procedure. Teeth whitening is also non-permanent; with good dental maintenance, your bright smile can last for years. Depending on your consumption of staining food and drink, you may need to go in for touch-ups.
Teeth Whitening Frequently Asked Questions
Can yellow teeth become white again?
Yes, yellow teeth can become whiter through teeth whitening. Teeth whitening addresses surface tooth stains and discolouration, including the yellowing of teeth caused by ageing, diet, smoking, or consuming staining beverages like coffee or tea.
How long does teeth whitening last?
Regular brushing, flossing, dental checkups, and avoiding staining food and drink can prolong teeth whitening. These factors will play into how long teeth whitening lasts.
Will teeth whitening cause sensitivity?
If you have highly sensitive teeth, the whitening process might be intimidating. Many generic whitening strips are painful on sensitive teeth, but Bondi Family Dentist can help you mitigate those sensitivity problems with customised solutions.
What about In-chair vs at-home teeth whitening?
In-Chair Teeth Whitening
If you are exploring teeth whitening options with a licensed dentist like us, it’s best to seek an in-chair solution. At Bondi Family Dentist, we use Zoom teeth whitening for immediate results. It’s one of the safest and most effective ways to brighten your smile.
Many of our clients seek fast teeth whitening solutions with minimal effort. Accordingly, our in-chair teeth whitening is simple, convenient, and surprisingly quick.
Take-Home Whitening
If you would prefer to use a take-home option, Bondi Family Dentist is happy to provide the kit and instructions for you. Our take-home teeth whitening allows you to apply the treatment over multiple days or weeks to whiten your teeth at home gradually.
Our dental team develops custom trays tailor-made for your mouth. It improves the effectiveness of our teeth whitening solutions and ensures full coverage. Don’t hesitate to contact Bondi Family Dentist for convenient solutions for whitening your teeth in Bondi.
If you’d like to learn more about the difference, explore our blog on the topic below:
